Claudicatio of Etalagebenen

Wat zijn etalagebenen?

Claudicatio intermittens, in de volksmond etalagebenen genoemd, treedt op wanneer jouw beenspieren tijdens het stappen te weinig zuurstof krijgen. Hierdoor zal je na een bepaalde afstand een krampend gevoel in de kuit of in de bil ervaren. Deze pijn verdwijnt snel bij stilstaan.

De oorzaak hiervan is een vernauwing (ook wel stenose genoemd) in je beenslagader. Hierdoor kan de bloedtoevoer naar de spieren bij inspanning niet toenemen en ontstaat er een zuurstoftekort. Naarmate de vernauwing toeneemt zal je steeds sneller stilstaan. Bij een uitgesproken vernauwing bestaat de kans op een volledige verstopping.

Wat zijn de oorzaken?

Verstopping worden veroorzaakt door atheromatose. Naarmate we ouder worden treedt dit bij iedereen op. Toch zijn er een aantal factoren die dit proces kunnen versnellen:

  • roken
  • diabetes of suikerziekte
  • hoge bloeddruk of hypertensie
  • verhoogd cholesterolgehalte in het bloed
  • zwaarlijvigheid of obesitas
  • weinig lichaamsbeweging

Welke onderzoeken voeren we uit?

Op onze raadpleging wordt onmiddellijke een echo duplex uitgevoerd. je krijgt een gel op jouw benen. Dit is om de “kop” van het duplex apparaat (ook wel de transducer genoemd) goed contact te laten maken met de huid. Met ons echotoestel kunnen we de doorstroming in de belangrijkst slagaders van het been controleren. Zo kunnen we meteen de oorzaak en de ernst van het vaatlijden inschatten. Indien nodig kan nog aan aanvullende MR of CT scan aangevraagd worden.

Welke behandeling is mogelijk?

De behandeling is afhankelijk van de uitgebreidheid van het vaatlijden. We zullen steeds proberen een endovasculaire behandeling voor te stellen. In ons ziekenhuis beschikken we immers of de meest recente technologie en kunnen we gebruik maken van een volledig hybride operatiezaal. Door deze moderne digital technologie kunnen we zeer nauwkeurig werken en kunnen meer complexe ingrepen op een veilige manier uitgevoerd worden.

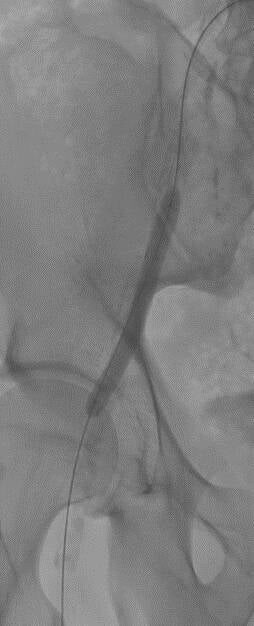
1. Endovasculaire behandeling

Via een prik in de lies wordt een buisje in je slagader geplaatst. Via deze toegang kunnen we jouw slagader volledig en zeer nauwkeurig in beeld brengen. Indien er vernauwingen of verstoppingen vastgesteld worden, kunnen deze dan in dezelfde tijd behandeld worden. Ter hoogte van de vernauwing wordt een ballon opgeblazen. Indien blijkt dat dit onvoldoende is kan aanvullend een stent in uw bloedvat geplaats worden. Vermits er enkel een prik in de lies nodig is, hoef je slechts 1 nacht in het ziekenhuis te blijven. Thuis mag je snel zo goed als al uw activiteiten hernemen

2. Klassiek operatie

Indien je uitgesproken vaatlijden hebt of indien de endovasculaire behandeling onvoldoende blijkt, zullen we jou een open ingreep voorstellen

     

    • Endarterectomie

    Hierbij wordt een insnede gemaakt, bv. t.h.v. de lies, en de slagader vrijgelegd. De slagader wordt opengemaakt en de aanwezige kalkplaque verwijderd. Vervolgens wordt het bloedvat gesloten met een stukje kunststof om nieuwe vernauwing te voorkomen. Je zal een vijftal dagen in het ziekenhuis verblijven. Na ontslag moet je het nog rustig aan
    doen maar kan je wel de dagdagelijkse activiteiten hernemen

     

    • Overbrugging

    Indien jouw slagader over een lang stuk volledig verstopt is, kan je een overbrugging worden voorgesteld. Voor de overbrugging kan een eigen ader of een kunststofbuisje gebruikt worden. Om dit buisje op de slagader in te naaien zal een insnede in de lies en een insnede lager op het been gemaakt worden. Je zal 1 a 2 weken ter herstel in het ziekenhuis opgenomen worden.

    3. Levenstijl

    Jouw arts zal je tijdens de consultatie wijzen op het belang van een gezonde levensstijl en voldoende lichaamsbeweging. Indien aangewezen stellen we aan onze patiënten gesuperviseerde wandeltraining bij de kinesist voor. 

    Ook heb je steeds de mogelijkheid om rookstopbegeleding te krijgen. 

    Daarnaast zullen we een lichte bleodverdunner (Asaflow) en een cholesterolremmer voorschrijven. Na de ingreep voorzien wij verdere opvolging vermits aangetoond is dat vernauwingen bij slagaders, ondanks een goede behandeling, kunnen terugkeren.

     

    • Opvolging na de ingreep
      Na de ingreep is het belangrijk dat je in opvolging blijft bij jouw behandelende chirurg. Het is immers steeds mogelijk dat er nieuwe vernauwing, op dezelfde plaats of elders, optreden.

    Heeft u nog vragen of bemerkingen in verband met deze onderwerp?
    Aarzel dan niet om uw arts te contacteren.
    Heelkunde (route 51) 057 35 72 00, secheelkunde@yperman.net